できるだけ歯を削らず、できるだけ痛みの少ない治療をこころがけている歯科医院です。桑名市や近隣の弥富市・いなべ市・四日市市・愛西市からもお気軽にどうぞ。

三重県桑名市新西方7-22 イオンタウン桑名新西方ショッピングセンター

診療時間のご案内
(月火木土) 9:00~13:30/15:00~18:00
(金)14:30~18:00
ご予約・お問合せはこちら
0594-27-5454

ホワイトニングシステム

「歯を白くしたい」「歯を削らず歯を白くしたい」

そんなご要望応えるべく、桑名市の桑名はらだ歯科クリニックでは歯のホワイトニングのメニューを取り揃えました。

お気軽にご相談ください。

ホームホワイトニング 税込み9800円

画像の説明を入力してください

ホームホワイトニングは9800円で行っています。(希望があれば追加のジェルを1本5000円でご提供しています)患者さんの歯型に合ったマウスピースをつくり、そのマウスピースに歯科医院から処方された薬剤を入れて、自宅で一定時間装着していただきます。これにより、歯の内部や表面の黄ばみを分解して、安全に歯をホワイトニングしていきます。
 
ホームホワイトニングの進め方
 
1診断後、マウスピースを製作する:
  歯科医師が診察し歯型を取って
 
  ホワイトニング用のマウスピースを製作します。
 
2自宅で薬剤を使用する:剤をマウスピースに入れ、自分で装着します。
 
3 1日に数時間、数週間続けることでホワイトニング効果が現れます
 
副作用・リスク:個人差がありますが、施術中や施術後に歯がしみる場合があります
 

オフィスホワイトニング と ホームホワイトニングを
同時に行うプラン
 税込み39800円

✨オフィスホワイトニング(院内ホワイトニング)とホームホワイトニング
 
歯科医院で専用の薬剤とライトを使って行うホワイトニングと。
ご自宅で行うホームホワイトニングを同時に行います。
 
歯科医師の管理のもと、安全に美しい白い歯を目指せます。
 
流れ
 
カウンセリング・歯の色確認
 
クリーニング
 
薬剤を塗布してライト照射
 
仕上がりのチェック
 
副作用・リスク:個人差がありますが、施術中や施術後に歯がしみる場合があります

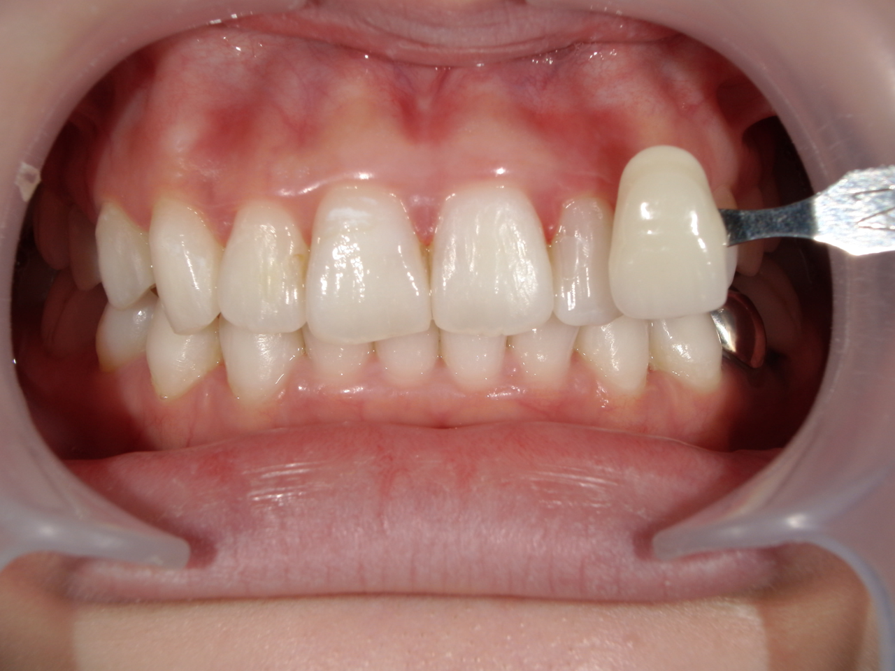
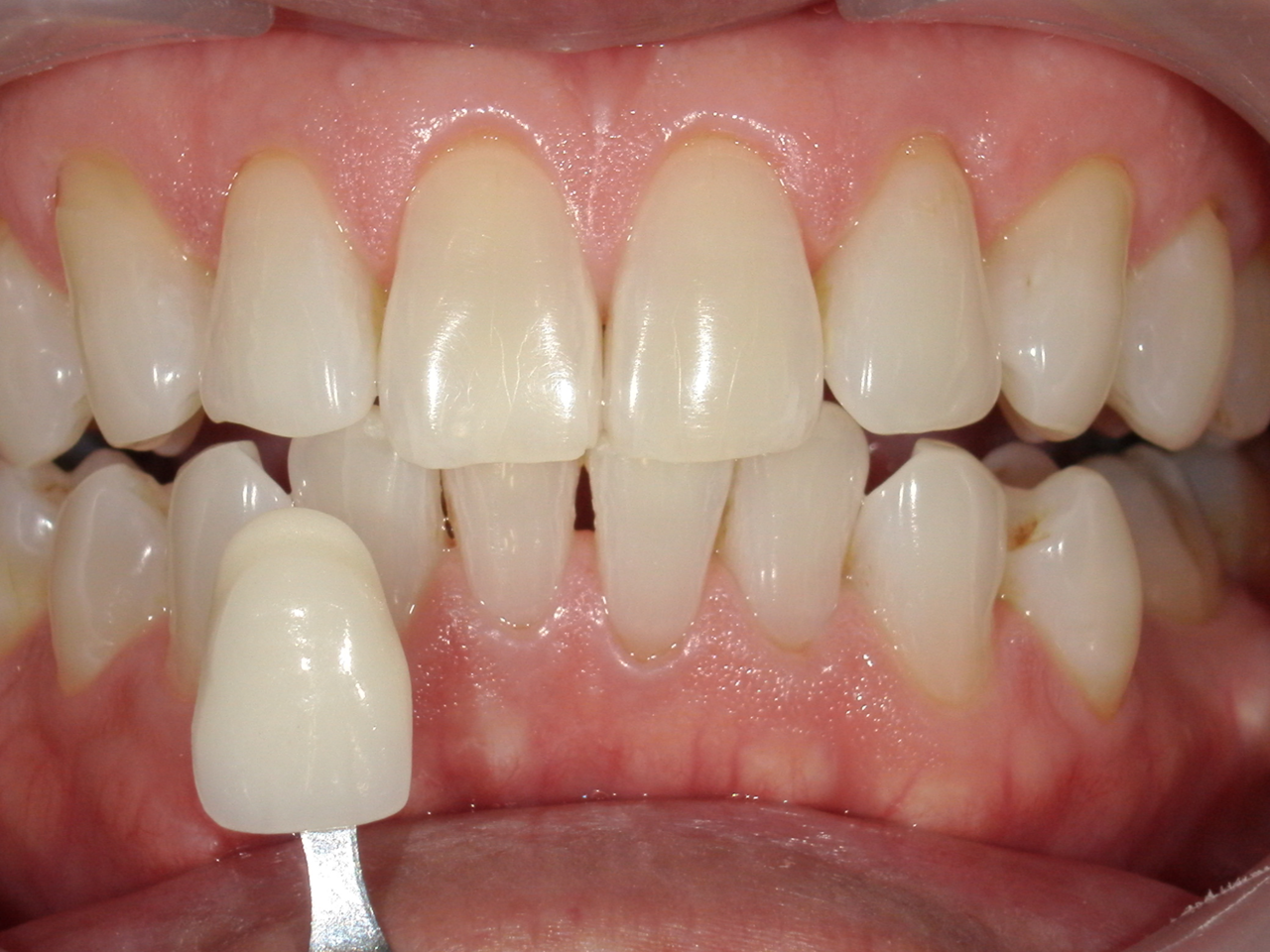
ホワイトニングの症例

ホワイトニングの症例ご紹介します。

ホワイトニング前

オフィスホワイトニングとホームホワイトニング

内容:ホワイトニング材を用いて歯を白くします

費用:39,800円(税込)

通院回数2~3回

治療期間1か月

ホワイトニング後

副作用・リスク:個人差がありますが、施術中や施術後に歯がしみる場合があります

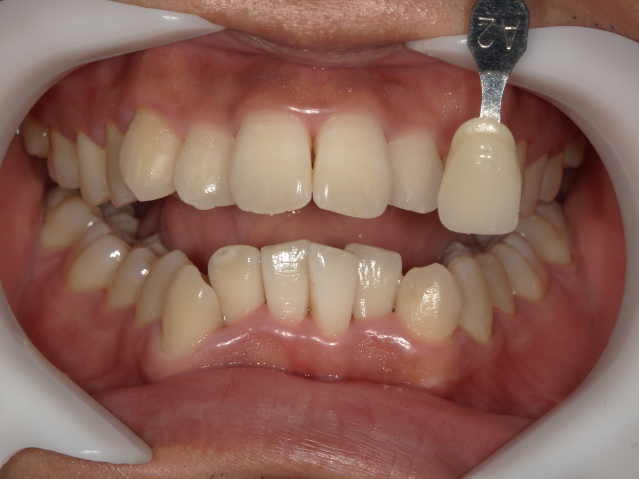
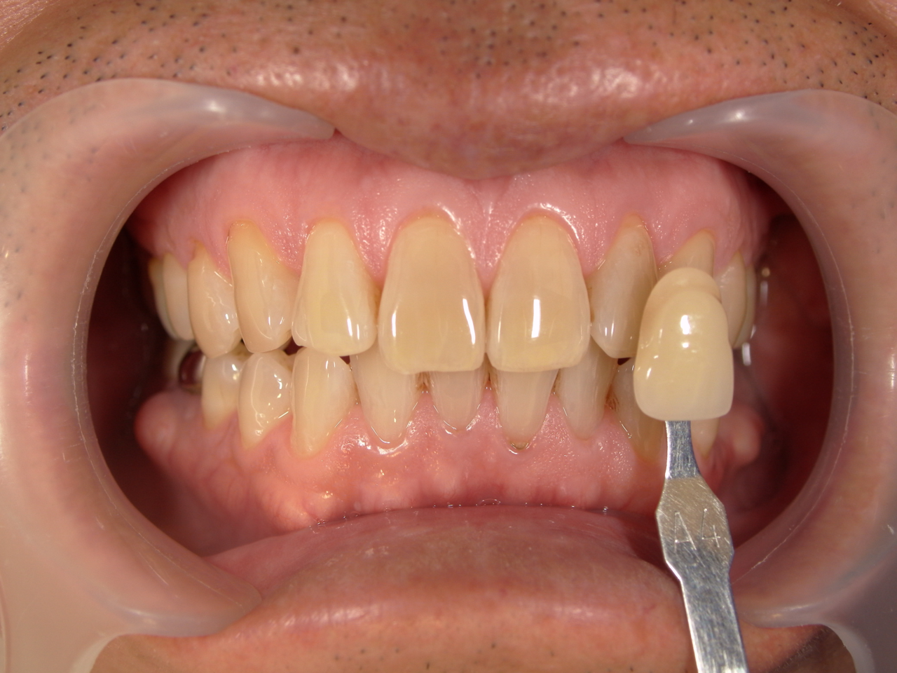
ホワイトニングの症例

ホワイトニングの症例ご紹介します。

ホワイトニング前

ホームホワイトニング

内容:ホワイトニング材を用いて歯を白くします

費用:9,800円(税込)

通院回数2~3回

治療期間1か月

ホワイトニング後

副作用・リスク:個人差がありますが、施術中や施術後に歯がしみる場合があります

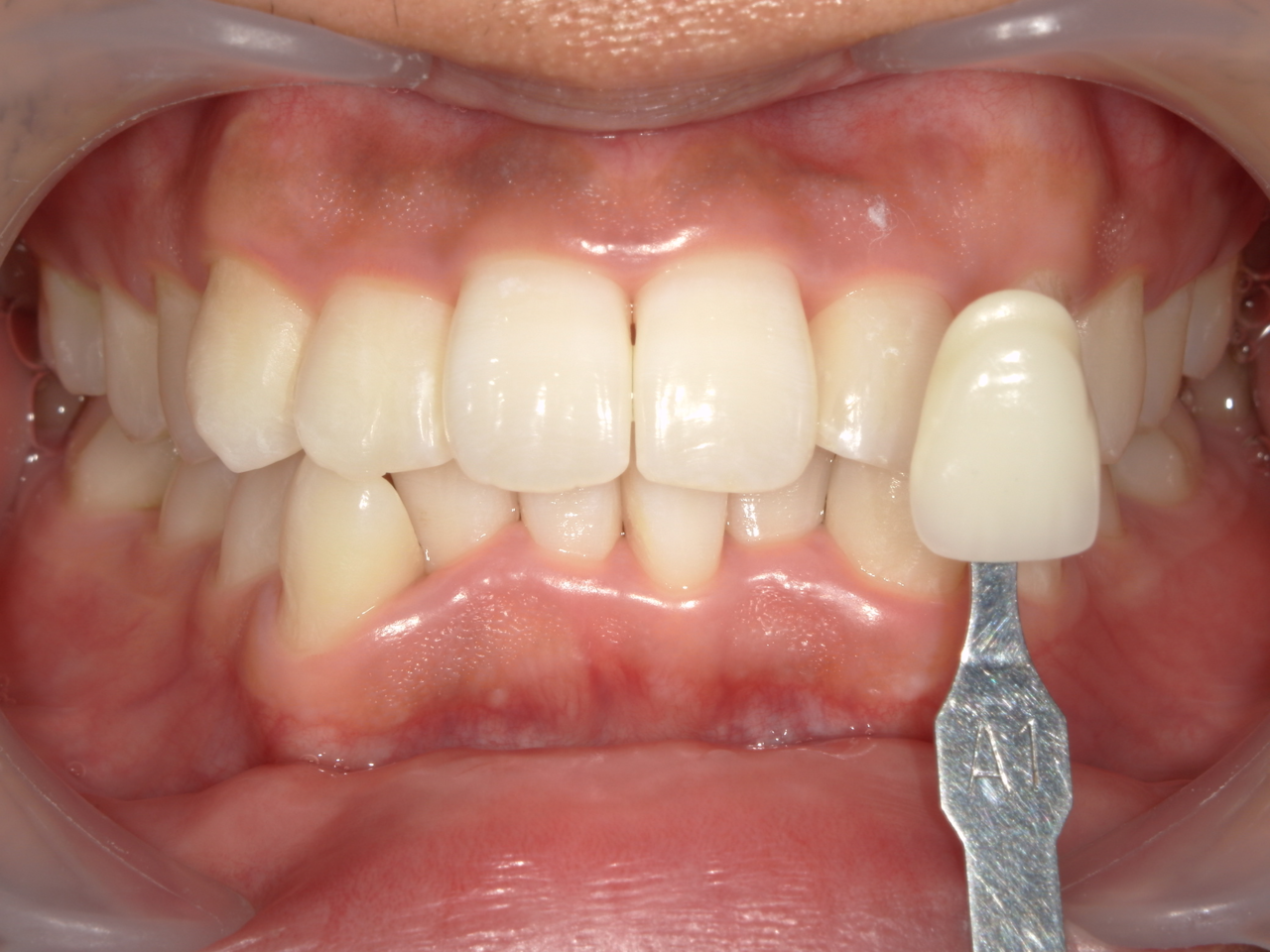
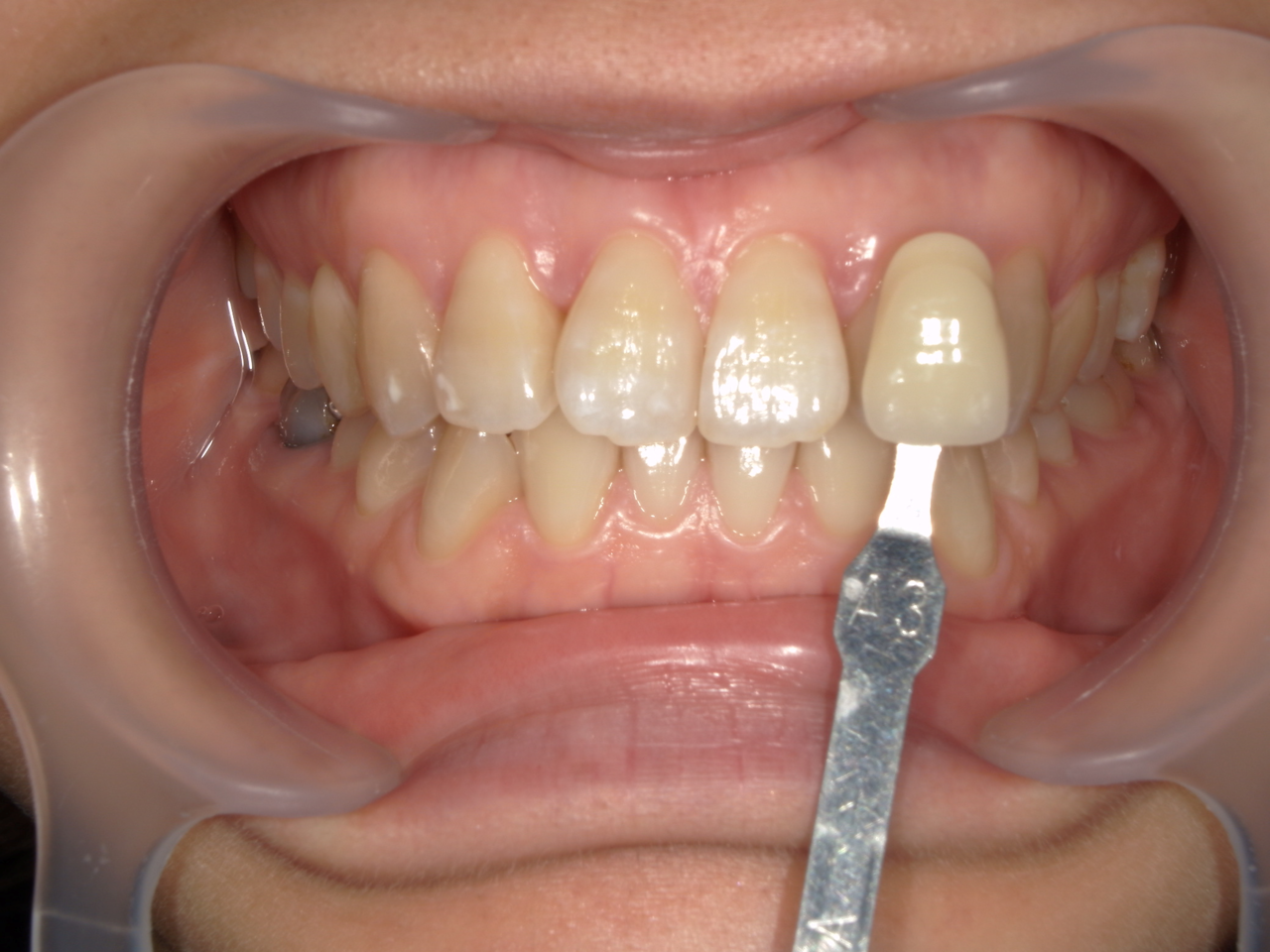
ホワイトニングの症例

ホワイトニングの症例ご紹介します。

ホワイトニング前

ホームホワイトニング

内容:ホワイトニング材を用いて歯を白くします

費用:9,800円(税込)

通院回数2~3回

治療期間1か月

ホワイトニング後

副作用・リスク:個人差がありますが、施術中や施術後に歯がしみる場合があります

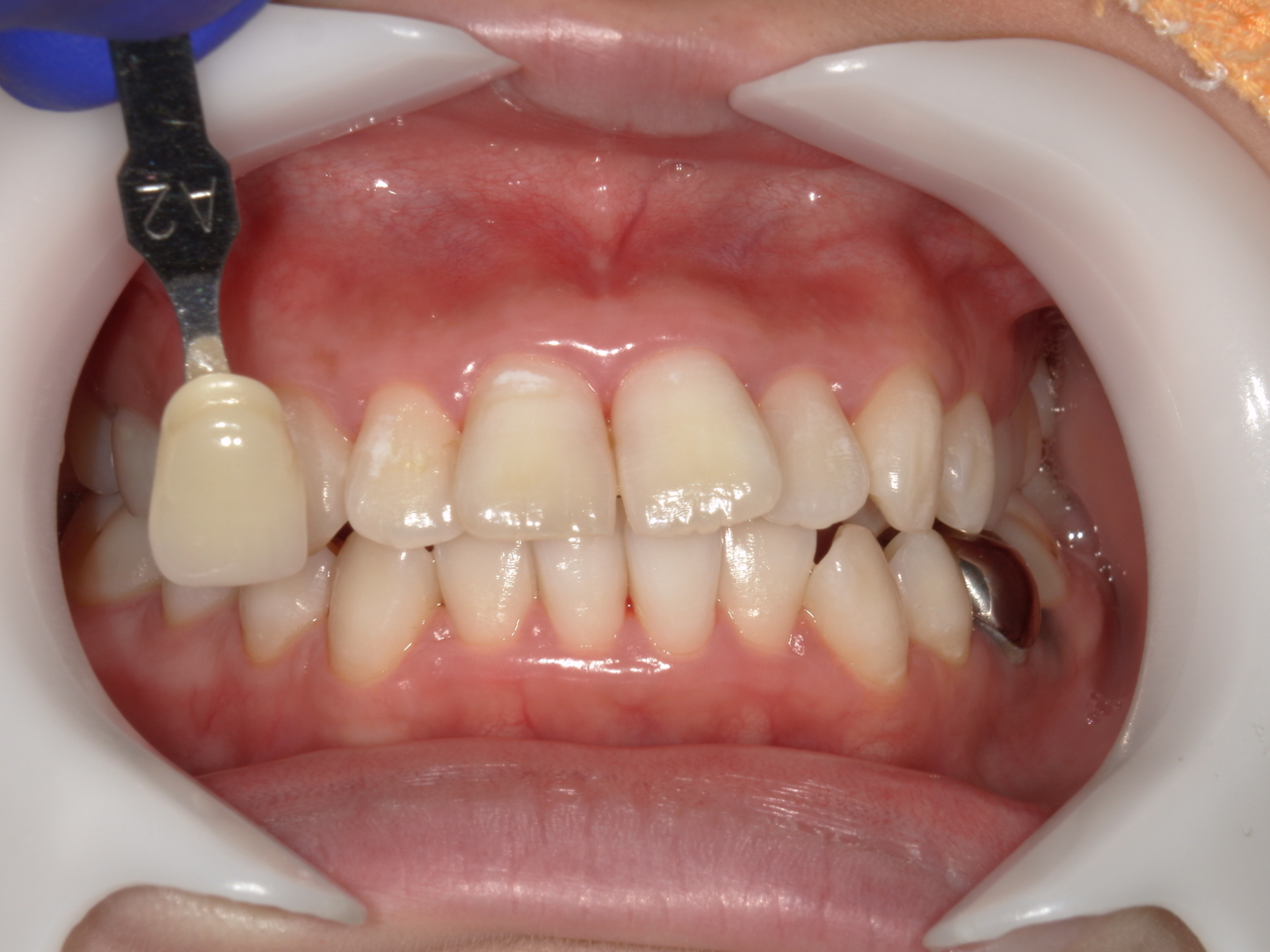
ホワイトニングの症例

ホワイトニングの症例ご紹介します。

ホワイトニング前

ホームホワイトニング

内容:ホワイトニング材を用いて歯を白くします

費用:9,800円(税込)

通院回数2~3回

治療期間1か月

ホワイトニング後

副作用・リスク:個人差がありますが、施術中や施術後に歯がしみる場合があります

ホワイトニングの症例

ホワイトニングの症例ご紹介します。

ホワイトニング前

ホームホワイトニング

内容:ホワイトニング材を用いて歯を白くします

費用:9,800円(税込)追加ジェル4本 20,000円(税込み)

通院回数 5~6回

治療期間2か月

ホワイトニング後

副作用・リスク:個人差がありますが、施術中や施術後に歯がしみる場合があります

ホワイトニングコーディネター在籍で
安心してホワイトニングを受けていただけます。

当院では、ホワイトニングコーディネーターの資格をもつ歯科衛生士も在籍しており、より安心安全にホワイトニングを受けていただけます。

結婚前の「ウエディング・ホワイトニング」

お試しの「プチホワイトニング」

自宅で行う「ホームホワイトニング」

など様々なプランをご用意しております。

 

治療期間・治療回数目安 約1か月・2回~3回
副作用・リスク ホワイトニング剤の影響で
知覚過敏が起こるケースがあります

桑名はらだ歯科クリニックの原田聡院長は今まで、三重県桑名市・四日市市・員弁郡東員町・いなべ市、木曽岬町、愛知県弥富市・愛西市・津島市・蟹江町・稲沢市、名古屋市、岐阜県海津市などの多くの患者様のホワイトニング治療に関わってきました。安心してご相談ください。

ご予約・お問合せはこちら

お気軽にお問合せください

お電話でのご予約・お問合せはこちら

0594-27-5454

診療時間:

(月火木土)9:00~13:30/15:00~18:30

(金)14:30~18:00
 

休診日:水曜日、日曜日、祝日

スタッフの方を募集しています!

お電話でのご応募・お問合せはこちら

0594-27-5454

正社員:「週休2.5日」制!
パート・アルバイト:好きな時間好きなだけ入れます(週1日2〜3時間からOK)
働きやすい歯科医院です!

休日:正社員の場合、週休2.5日。ゆとりのある勤務体制です。

診療時間

診療日
 
午前 × × ×
午後 × ×
診療時間

(月火木土)
午前 9:00~13:30
午後 15:00~18:00
(金)
午前 14:30~18:00

休診日

水曜日、祝日、日曜日

ご予約・お問合せ

ご予約受付中です!お気軽にご連絡ください。

0594-27-5454

アクセス

0594-27-5454
住所

〒511-0863
三重県桑名市新西方7-22
イオンタウン桑名新西方ショッピングセンター

※イオンタウンの大型駐車場をご利用いただけます